Adoption information
About π₯ Eazy 6370 π₯
Meet Eazy, a canine with a heart full of love to share. This affectionate velcro dog adores being close to his humans, making him an ideal companion for a retired family or a household where someone is home most of the time. Eazy thrives on companionship and may benefit from the company of an older, sensible male dog.
Eazy's adventures and surgical experience has been chronicled on our social media, where you can witness his journey and see the remarkable bonds he's formed with our staff. His affectionate nature is further highlighted by his food-driven personality, which means treat-based bonding with Eazy is always a fun and rewarding experience. His love for people shines through every interaction, enriching the lives of those lucky enough to be around him.
A household with someone who enjoys his ever-present companionship would be perfect for Eazy. His endearing personality and loyal disposition ensure he'll become an invaluable part of your life in no time. If youβre looking to enrich your days with a dog who'll always have your back and be your best friend, Eazy is eager to embark on a new chapter packed with love and companionship.
Medical notes
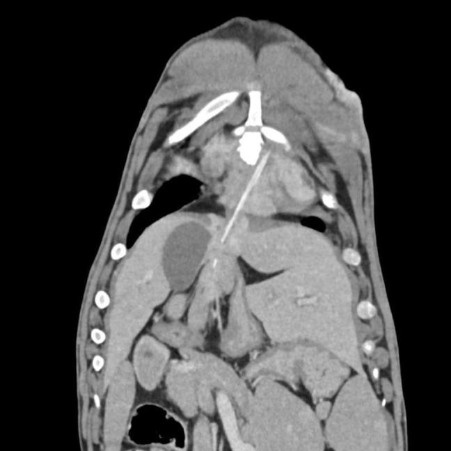
Eazy has recently undergone a CT scan and major thoracic surgery with Melbourne Animal Referral Services to remove a foreign body (a skewer measuring in two parts 8cms and 12cms) This foreign body is believed to have been ingested 3+ years ago when we look back on his medical history taking into account when he first showed some oozing on his midline.
We have documented our journey with Eazy on our social platforms (instragram and facebook).
Eazy has made a full recovery, but it is important to discuss the process in its entirety with our admin staff to ensure you have a thorough understanding of what he has undergone.
Watch videos of π₯ Eazy 6370 π₯
Adoption details
To express interest in adopting one of our animals please complete an adoption application.
Our friendly staff are always available to discuss the adoption process and any further information on our animals.
Before visiting the Community Animal Shelter and Animal Pound please call to arrange an appointment with one of our friendly staff prior to your visit.
Opening Hours
Monday to Friday 9:00am - 4:30pm
Saturday: 10:00am - 1:00pm
Sunday & Public Holidays: Closed
Email: casgroup@mornpen.vic.gov.au
Phone: 03 5950 1838